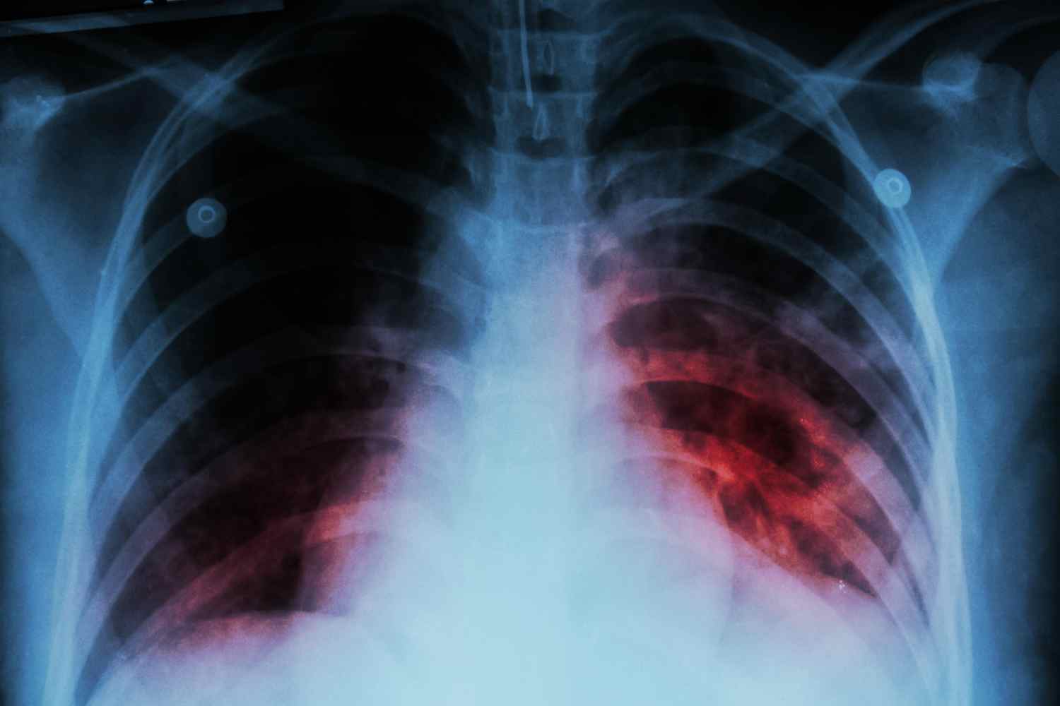
La tuberculosis ha vuelto a León. Esta enfermedad infecciosa, causada por una bacteria que afecta a los pulmones, ha sido la causa de la muerte de un inmigrante que llegó a León a través del programa de protección internacional del Ministerio de Inclusión,Seguridad Social y Migraciones.
Según la información publicada por el Diario de León, el fallecimiento tuvo lugar hace un mes cuando un veinteañero presentó síntomas de esta enfermedad y fuese derivado a atención primaria para después ser trasladado al Hospital de la capital. Fue entonces cuando la enfermedad acabó con su vida, debido a una explosión pulmonar.
Según fuentes sanitarias consultadas por el Diario de León, el fallecido podría haber sido portador de la bacteria cuando llegó a León, un dato que deja en duda los controles sanitarios realizados por el Ministerio cuando estas personas llegaron a España.

Los síntomas que saltaron las alertas fueron la tos crónica y el dolor en el torax, una vez en el centro de salud de Armunia, se efectuaron sus pruebas y los posibles contagios. La enfermedad se confirmó, y no solo en él, pues otros 20 inmigrantes resultaron positivos, aunque la mayoría tenian la enfermedad sin desarrollar, tal y como asegurá el medio leonés.
A pesar de que la tuberculosis es una de las enfermedades más letales del planeta, superada como infección por el COVID-19, este mal puede curarse, gracias a los fármacos, en unos cuatro o seis meses.
La tuberculosis hoy
Desde hace dos décadas, la Organización Mundial de la Salud (OMS) no había registrado un aumento de esta enfermedad o el incremento de las muertes que se relacionan con la misma. De hecho, uno de los Objetivos de Desarrollo Sostenible (ODS) es acabar con la epidemia de la tuberculosis para el 2030.
En la información más reciente de la OMS, exponen que en 2022 10,6 millones de personas en todo el mundo contragieron esta infección, que causó la muerte de un total de 1,3 millones de personas. En lo que respecta a Castilla y León, el informe de Sacyl más reciente (de 2022, pero realizado con datos de 2021), pone de manifiesto que en León se registraron 43 casos de los 154 detectados.
Entérate de las últimas noticias y avisos importantes haciéndote seguidor de nuestro canal en WhatsApp. Entra en este enlace y activa las notificaciones del Canal.